Int J Biol Sci
2023; 19(10):3288-3289.
doi:10.7150/ijbs.84828 This issueCite
Erratum
Mir-484 contributes to diminished ovarian reserve by regulating granulosa cell function via YAP1-mediated mitochondrial function and apoptosis: Erratum
1. Institute of Reproductive Health, Tongji Medical College, Huazhong University of Science and Technology, Wuhan, Hubei 430030, China. 2. Center of Reproductive Medicine, Tongji Medical College, Huazhong University of Science and Technology, Wuhan, Hubei 430030, China. *These authors contributed equally to this work.
✉ Corresponding authors: Wenpei Xiang, Institute of Reproductive Health, Tongji Medical College, Huazhong University of Science and Technology, 13 Hangkong Road, Wuhan, 430030, China. E-mail: wpxiang2010com; Ping Su, Institute of Reproductive Health, Tongji Medical College, Huazhong University of Science and Technology, 13 Hangkong Road, Wuhan, 430030, China. E-mail: suping24com.More
Published 2023-6-21
Citation:
Li H, Wang X, Mu H, Mei Q, Liu Y, Min Z, Zhang L, Su P, Xiang W. Mir-484 contributes to diminished ovarian reserve by regulating granulosa cell function via YAP1-mediated mitochondrial function and apoptosis: Erratum. Int J Biol Sci 2023; 19(10):3288-3289. doi:10.7150/ijbs.84828. https://www.ijbs.com/v19p3288.htm
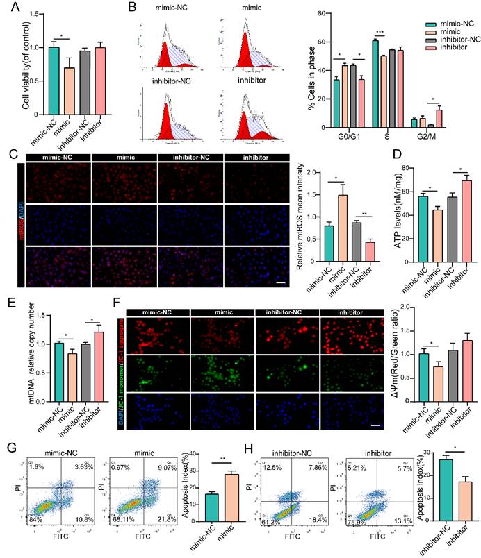
During preparation of the figures of this paper, we made an error in the Figure 2C and Figure 2F. We have now corrected this error by replacing the incorrect image with the correct one in the new Figure 2. We want to clarify that this mistake was made unintentionally and does not impact the conclusions drawn in our article. Please refer to the corrected Figure 2 below as an erratum. We apologize for any inconvenience that may have been caused.
Figure 2
Correct image.
Author contact
Corresponding authors: Wenpei Xiang, Institute of Reproductive Health, Tongji Medical College, Huazhong University of Science and Technology, 13 Hangkong Road, Wuhan, 430030, China. E-mail: wpxiang2010com; Ping Su, Institute of Reproductive Health, Tongji Medical College, Huazhong University of Science and Technology, 13 Hangkong Road, Wuhan, 430030, China. E-mail: suping24com.
Citation styles
APA
Li, H., Wang, X., Mu, H., Mei, Q., Liu, Y., Min, Z., Zhang, L., Su, P., Xiang, W. (2023). Mir-484 contributes to diminished ovarian reserve by regulating granulosa cell function via YAP1-mediated mitochondrial function and apoptosis: Erratum. International Journal of Biological Sciences, 19(10), 3288-3289. https://doi.org/10.7150/ijbs.84828.
ACS
Li, H.; Wang, X.; Mu, H.; Mei, Q.; Liu, Y.; Min, Z.; Zhang, L.; Su, P.; Xiang, W. Mir-484 contributes to diminished ovarian reserve by regulating granulosa cell function via YAP1-mediated mitochondrial function and apoptosis: Erratum. Int. J. Biol. Sci. 2023, 19 (10), 3288-3289. DOI: 10.7150/ijbs.84828.
NLM
Li H, Wang X, Mu H, Mei Q, Liu Y, Min Z, Zhang L, Su P, Xiang W. Mir-484 contributes to diminished ovarian reserve by regulating granulosa cell function via YAP1-mediated mitochondrial function and apoptosis: Erratum. Int J Biol Sci 2023; 19(10):3288-3289. doi:10.7150/ijbs.84828. https://www.ijbs.com/v19p3288.htm
CSE
Li H, Wang X, Mu H, Mei Q, Liu Y, Min Z, Zhang L, Su P, Xiang W. 2023. Mir-484 contributes to diminished ovarian reserve by regulating granulosa cell function via YAP1-mediated mitochondrial function and apoptosis: Erratum. Int J Biol Sci. 19(10):3288-3289.
This is an open access article distributed under the terms of the Creative Commons Attribution License (https://creativecommons.org/licenses/by/4.0/). See http://ivyspring.com/terms for full terms and conditions.