Int J Biol Sci 2020; 16(15):3037-3038. doi:10.7150/ijbs.53769 This issue Cite

Erratum

Triptolide Suppresses Glomerular Mesangial Cell Proliferation in Diabetic Nephropathy Is Associated with Inhibition of PDK1/Akt/mTOR Pathway: Erratum

Fei Han, Mei Xue, Yunpeng Chang, Xiaoyu Li, Yang Yang, Bei Sun Corresponding address, Liming Chen Corresponding address

Key Laboratory of Hormones and Development (Ministry of Health), Tianjin Key Laboratory of Metabolic Diseases, Tianjin Metabolic Diseases Hospital & Tianjin Institute of Endocrinology, Tianjin Medical University

Published 2020-10-3

Citation:
Han F, Xue M, Chang Y, Li X, Yang Y, Sun B, Chen L. Triptolide Suppresses Glomerular Mesangial Cell Proliferation in Diabetic Nephropathy Is Associated with Inhibition of PDK1/Akt/mTOR Pathway: Erratum. Int J Biol Sci 2020; 16(15):3037-3038. doi:10.7150/ijbs.53769. https://www.ijbs.com/v16p3037.htm
Other styles

File import instruction

Corrected-article in Int J Biol Sci, Volume 13, 1266

 

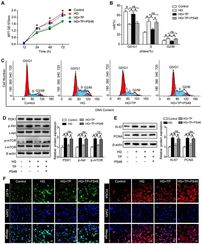
In our paper [1], when we were preparing the blot picture of p-mTOR in Figure 6D, we mistakenly copied the above blot picture of PDK1 which were also in Figure 6D, and the original picture of p-mTOR was omitted. We would like to apologize for any inconvenience caused to the readers by these changes. We repeated the western blot assay and confirmed that the results were in accordance with the published results. It is important to state that this correction do not affect our study's results in the published paper. The original pictures of PDK1 and p-mTOR were attached as supplementary figure 1. Figure 6D should be corrected as follows.

 Figure 6 

PDK1 activator reversed the effect of TP on mesangial cell proliferation. (A) MTT assay in the cells treated with HG for different times. *P < 0.05 vs. Control group, #P < 0.05 vs. HG+TP group. (B and C) Flow cytometry analysis of cell cycle in the HRMCs treated for 72 h. (D) Protein expression of PDK1/Akt/mTOR pathway in HRMCs treated for 72 h. (E) Protein expression of Ki-67 and PCNA in HRMCs treated for 72 h. (F) Immunofluorescence images of Ki-67 and PCNA. The scale bar represents 10 μm. Data were reported as mean ± S.D.. *P < 0.05; ns represents no significance

Int J Biol Sci Image

Supplementary Material

Supplementary figure.

Attachment

References

1. Han F, Xue M, Chang YP, Li XY, Yang Y, Sun B, Chen LM. Triptolide Suppresses Glomerular Mesangial Cell Proliferation in Diabetic Nephropathy Is Associated with Inhibition of PDK1/Akt/mTOR Pathway. International Journal of Biological Sciences. 2017;13(10):1266-1275

Author contact

Corresponding address Corresponding authors


Citation styles

APA
Han, F., Xue, M., Chang, Y., Li, X., Yang, Y., Sun, B., Chen, L. (2020). Triptolide Suppresses Glomerular Mesangial Cell Proliferation in Diabetic Nephropathy Is Associated with Inhibition of PDK1/Akt/mTOR Pathway: Erratum. International Journal of Biological Sciences, 16(15), 3037-3038. https://doi.org/10.7150/ijbs.53769.

ACS
Han, F.; Xue, M.; Chang, Y.; Li, X.; Yang, Y.; Sun, B.; Chen, L. Triptolide Suppresses Glomerular Mesangial Cell Proliferation in Diabetic Nephropathy Is Associated with Inhibition of PDK1/Akt/mTOR Pathway: Erratum. Int. J. Biol. Sci. 2020, 16 (15), 3037-3038. DOI: 10.7150/ijbs.53769.

NLM
Han F, Xue M, Chang Y, Li X, Yang Y, Sun B, Chen L. Triptolide Suppresses Glomerular Mesangial Cell Proliferation in Diabetic Nephropathy Is Associated with Inhibition of PDK1/Akt/mTOR Pathway: Erratum. Int J Biol Sci 2020; 16(15):3037-3038. doi:10.7150/ijbs.53769. https://www.ijbs.com/v16p3037.htm

CSE
Han F, Xue M, Chang Y, Li X, Yang Y, Sun B, Chen L. 2020. Triptolide Suppresses Glomerular Mesangial Cell Proliferation in Diabetic Nephropathy Is Associated with Inhibition of PDK1/Akt/mTOR Pathway: Erratum. Int J Biol Sci. 16(15):3037-3038.

This is an open access article distributed under the terms of the Creative Commons Attribution License (https://creativecommons.org/licenses/by/4.0/). See http://ivyspring.com/terms for full terms and conditions.
Popup Image