Int J Biol Sci 2022; 18(9):3795-3797. doi:10.7150/ijbs.73868 This issue Cite

Erratum

BRD4 Inhibitor AZD5153 Suppresses the Proliferation of Colorectal Cancer Cells and Sensitizes the Anticancer Effect of PARP Inhibitor: Erratum

Peng Zhang1#, Ruidong Li1#, Hua Xiao2, Weizhen Liu1, Xiangyu Zeng1, Genchen Xie1, Wenchang Yang1, Liang Shi1, Yuping Yin1 Corresponding address, Kaixiong Tao1 Corresponding address

1. Department of Gastrointestinal Surgery, Union Hospital, Tongji Medical College, Huazhong University of Science and Technology, Wuhan 430022, China;
2. Department of Gastroduodenal and Pancreatic Surgery, Hunan Cancer Hospital and the Affiliated Cancer Hospital of Xiangya School of Medicine, Central South University, No. 283 Tongzipo Road, Changsha, Hunan Province 410013, China.
# Peng Zhang and Ruidong Li contributed equally to this work.

Published 2022-5-27

Citation:
Zhang P, Li R, Xiao H, Liu W, Zeng X, Xie G, Yang W, Shi L, Yin Y, Tao K. BRD4 Inhibitor AZD5153 Suppresses the Proliferation of Colorectal Cancer Cells and Sensitizes the Anticancer Effect of PARP Inhibitor: Erratum. Int J Biol Sci 2022; 18(9):3795-3797. doi:10.7150/ijbs.73868. https://www.ijbs.com/v18p3795.htm
Other styles

File import instruction

Corrected-article in Int J Biol Sci, Volume 15, 1942

 

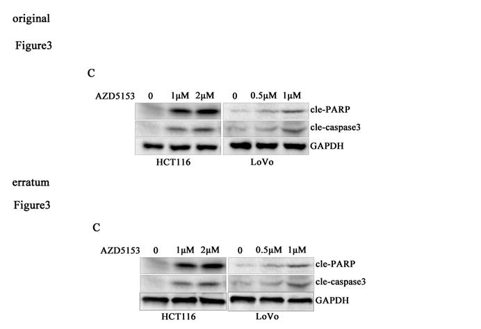
Due to improper processing of Western Blot images, there were four errors in our paper. We reviewed all the raw data in detail and found figure 1C and Figure 3C misused the GAPDH band. The Wee1 bands of LoVo cells in Figure 5C were incorrectly placed, and the GAPDH bands of LoVo cells in Figure 5C were incorrectly placed. We regret that we did not catch these errors before publication. Here we showed the corrected Figures 1C, Figures 3C and 5C with side by side comparison of the previous figures. The data analyses and conclusion remain unchanged.

 Figure 1 

C. Corrected figure.

Int J Biol Sci Image
 Figure 3 

C. Corrected figure.

Int J Biol Sci Image
 Figure 5 

C. Corrected figure.

Int J Biol Sci Image

Author contact

Corresponding address Corresponding author: Kaixiong Tao, 1277 Jiefang Avenue, Wuhan 430022, Hubei Province, China. Phone number: 086-027-85351620 Fax number: 086-027-85351662; Email: kaixiongtaoedu.cn. Yuping Yin 1277 Jiefang Avenue, Wuhan 430022, Hubei Province, China. Phone number: 086-027-85351620; Fax number: 086-027-85351662; Email: yinyuping2017edu.cn


Citation styles

APA
Zhang, P., Li, R., Xiao, H., Liu, W., Zeng, X., Xie, G., Yang, W., Shi, L., Yin, Y., Tao, K. (2022). BRD4 Inhibitor AZD5153 Suppresses the Proliferation of Colorectal Cancer Cells and Sensitizes the Anticancer Effect of PARP Inhibitor: Erratum. International Journal of Biological Sciences, 18(9), 3795-3797. https://doi.org/10.7150/ijbs.73868.

ACS
Zhang, P.; Li, R.; Xiao, H.; Liu, W.; Zeng, X.; Xie, G.; Yang, W.; Shi, L.; Yin, Y.; Tao, K. BRD4 Inhibitor AZD5153 Suppresses the Proliferation of Colorectal Cancer Cells and Sensitizes the Anticancer Effect of PARP Inhibitor: Erratum. Int. J. Biol. Sci. 2022, 18 (9), 3795-3797. DOI: 10.7150/ijbs.73868.

NLM
Zhang P, Li R, Xiao H, Liu W, Zeng X, Xie G, Yang W, Shi L, Yin Y, Tao K. BRD4 Inhibitor AZD5153 Suppresses the Proliferation of Colorectal Cancer Cells and Sensitizes the Anticancer Effect of PARP Inhibitor: Erratum. Int J Biol Sci 2022; 18(9):3795-3797. doi:10.7150/ijbs.73868. https://www.ijbs.com/v18p3795.htm

CSE
Zhang P, Li R, Xiao H, Liu W, Zeng X, Xie G, Yang W, Shi L, Yin Y, Tao K. 2022. BRD4 Inhibitor AZD5153 Suppresses the Proliferation of Colorectal Cancer Cells and Sensitizes the Anticancer Effect of PARP Inhibitor: Erratum. Int J Biol Sci. 18(9):3795-3797.

This is an open access article distributed under the terms of the Creative Commons Attribution License (https://creativecommons.org/licenses/by/4.0/). See http://ivyspring.com/terms for full terms and conditions.
Popup Image